Canon Clinical Report(キヤノンメディカルシステムズ)
2025年9月号
超解像技術による高分解能画像を生かし大学病院としての精度の高い画像診断を提供 〜既存マグネットを活用したリニューアルソリューションでコストとダウンタイムを抑えて最上位機種へアップグレード〜
広島大学病院

広島大学病院(広島市南区、742床)では4台の3T MRIが稼働しているが、そのうちの1台を2025年1月にキヤノンメディカルシステムズの最上位機種である3T DLR(Deep Learning Reconstruction)-MRI「Vantage Centurian」へ更新した。大学病院として高度な画像診断の提供を使命とする同院での3T DLR-MRIの運用について、腹部領域を中心とした画像の評価と、既存マグネットを活用した導入やワークフローの向上などを中心に、放射線診断科の中村優子准教授、前田章吾医師、診療支援部画像診断部門の越智悠介部門長、穐山雄次主任に取材した。
![]() 中村優子 准教授 |
![]() 前田章吾 医師 |
![]() 越智悠介 部門長 |
![]() 穐山雄次 主任 |
4台の3T装置を駆使して高度な画像診断を提供
同院の放射線診断科は、16名の専門医、専攻医が在籍し、画像診断とIVRを行う。粟井和夫前教授(2025年4月から地方独立行政法人広島県立病院機構理事長に就任)の時から、画像診断の基礎的研究から企業と連携したCTやMRIといった機器の共同研究など、画像関連技術の研究にも積極的に取り組んでいるのが特徴だ。中村准教授は、「基礎的研究をベースに企業との共同研究も多く進めており、そのために最新の装置を導入して、研究を行っています」と述べる。
MRI装置は、3T装置4台(ほかに術中検査用のオープンMRIが1台)が稼働している。検査件数は年間で約1万1000件、月間900〜1000件。診療科では、脳神経外科・内科、消化器内科、整形外科が多く、4科で7割を占める。検査部位では、頭部500件、整形領域と上腹部で各250件となっている(いずれも月間)。上腹部の内訳は肝臓のGd-EOB-DTPA(EOB)やSPIOによる造影検査が100件、MRCPが100件。MRIの検査について中村准教授は、「地域の中で大学病院は、画像診断においても最後の砦です。病気を見逃さないためにも、適切なプロトコールによる質の高い検査と読影を提供することを心掛けています」とのことだ。
マグネットリユースで低コスト・短いダウンタイムで更新
今回の更新では、キヤノンメディカルシステムズの「リニューアルソリューション」を利用して既設装置のマグネットを活用して導入された。リニューアルソリューションは、既存マグネットを活用することで、導入コストや装置入れ替えに伴うダウンタイムを抑えながら、最新のDLR-MRIへアップグレードできる。同院ではVantage Titan 3Tからのアップグレードとなったが、越智部門長は、「導入費用の削減はもちろんですが、入れ替えのための工事期間を短縮できることがポイントでした。現在、MRI検査の待ち時間が2〜3か月あり、検査を待っている患者さんのためにもダウンタイムは最小限にとどめたいところでした。今回の更新では、新規導入に比べて約1/3、1か月弱の停止期間で検査を再開することができました」と述べる。
Vantage Centurianは、高い傾斜磁場性能とディープラーニングを用いて設計した再構成技術によって、高分解能と高速検査を実現する同社のフラッグシップ装置である。機種選定について越智部門長は、「MRI検査のニーズが増加する中で、検査の効率化が求められています。新しいMRI装置には、画質だけでなく検査のワークフローを向上させる最新技術に期待しました。今回の導入では、リニューアルでも最上位機種にアップグレードでき、DLRやワークフロー改善技術など最新技術を利用することができました」と説明する。
高いGradient性能とPIQEでDWIの画質が向上
Vantage Centurianでは、高い傾斜磁場強度によって、特に拡散強調画像(DWI)の画質が大幅に向上した。中村准教授はVantage Centurianの評価について、「上腹部、特に肝臓の検査で、CTと比べて時間がかかるMRI検査を行うのは、高いコントラストと小病変の検出能があるからです。肝腫瘤性病変の鑑別診断のためのEOB造影MRIでは、EOBの造影各相だけでなく、T1強調画像(T1WI)やT2強調画像(T2WI)、DWIなどとの比較読影が重要です。それだけにMRIには基本シーケンスにおいて、安定して精度の高い画像が出せる性能を求めました。Vantage Centurianは、上腹部の高いb値のDWIの画質が向上しており、十分な性能を備えていると感じました」と言う。穐山主任は、「高い傾斜磁場強度に加えて、DWIの歪み低減技術であるRDC DWI(Reverse encoding Distortion Correction DWI)によって歪みの少ないDWIが得られており、脳神経外科など診療科からもDWIの画質が向上しているという評価を得ています」と画質の向上を評価する。
Vantage Centurianでは、DLRを用いた「Advanced intelligent Clear-IQ Engine(AiCE)」に加え、超解像技術「Precise IQ Engine(PIQE)」が利用可能だ。PIQEは、DLRによって高SNR、高分解能の画像を取得でき、マトリックス数を最大3倍まで増やすことができる。中村准教授は、「腹部のMRIでは、コントラストを求めると息止め時間が長くなるというジレンマがあったのですが、PIQEでは再構成によってノイズ低減だけでなく空間分解能も向上し、肝臓の小さな病変の描出能も向上していると感じています」と述べる。
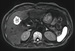
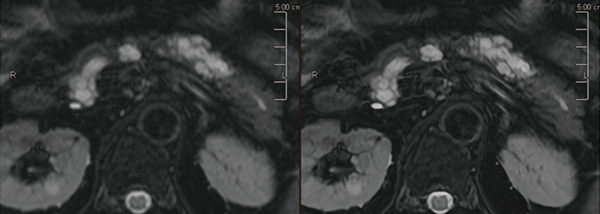
前田医師は、Vantage Centurianで撮像した転移性肝腫瘍の症例(図1)について、「臨床稼働後、最初期に撮像した画像でしたが、DWIで腫瘍が高信号に描出されるだけでなく、腫瘍中心部と辺縁部の信号のコントラストが鮮明に描出されており、Vantage Centurianの分解能の高さを実感しました」と述べる。また、膵臓の膵管内乳頭粘液性腫瘍(IPMN)の症例(図2)でも、PIQEを使用することで分解能が向上し従来画像よりも解像度が向上している。前田医師は、「PIQEの再構成画像では膵囊胞性病変の内部構造が非常にクリアになり、隔壁や充実成分のより詳細な評価が可能になるため、悪性度の評価が容易になります」と評価する。中村准教授はPIQEについて、「Vantage Centurianでは、基本画質の向上とPIQEによる再構成で、コントラストと分解能を両立した画像が得られています。画像の解像度が向上することで、病変の存在や悪性度などを悩まずに確信を持って読影することができます。不明瞭な画像では、ほかのシーケンスやモダリティの画像を確認することになるので、読影時間の短縮にもつながります」と述べる。
腹部以外の領域では、膝関節など整形領域でPIQEを使用しており、穐山主任は、「整形領域では、解像度の向上やデノイズの効果はもちろん、分解能を維持したままで撮像時間を短縮する方向でも活用しています。頸椎検査で仰臥位が難しい患者さんがいましたが、布状のシェイプコイルを肩から頸部に巻いて横向きで撮像し、マトリックスを少し減らした短時間撮像でもPIQE再構成によって画質を担保できました」と言う。痛みが強く長い時間の制動が難しい患者でも、PIQEを使うことで画質は維持したまま、約半分の検査時間で撮像することも可能だ。
■Vantage Centurianの臨床画像

図1 転移性肝腫瘍(呼吸同期併用DWI)

図2 IPMN(脂肪抑制T2WI 左:従来型再構成、右:PIQE再構成)
位置決めアシストやコイル認識機能で検査を効率化
Vantage Centurianでは、AIを用いた位置決めアシスト機能である「Auto Scan Assist」やコイル認識機能など検査のワークフローを支援する機能が充実しているのが特徴だ。穐山主任は、「Auto Scan Assistは、位置決め画像から撮像断面が自動で設定され検査の効率化につながるので、今後活用していきたいですね。また、コイル認識機能では撮像中に使用しているコイルが表示されるので、コイル選択のミスによる再撮像がなくなり、経験の浅い技師でも一定の質を保った検査が可能になります」と評価する。ワークフローの向上やDLR技術による時間短縮や検査効率の向上などについて越智部門長は、「PIQEや検査ワークフローの効率化で検査時間が短縮され、診療科からの追加撮像の要望にも対応できるようになりました。それでもVantage Centurianでの検査件数は増えているので、全体のパフォーマンスはかなり向上していると思います」と述べる。
AI技術の活用で均質なMRI検査の実現に期待
中村准教授は、「AIによる自動化機能が進化することで、誰が撮っても一定の品質の画像が得られるようになれば、精度の高い診断や治療につながるのではと期待しています」と述べる。越智部門長は、「検査の自動化によって品質を担保しつつ、教育や患者のリスク管理などに取り組むことで、トータルでの診療の質の向上につなげていきたいですね」と言う。
中村准教授は多くの企業と共同研究を進めてきた経験から、「臨床側のニーズとメーカーの技術をすり合わせながら開発を進めていけるのは国内企業の強みですので、その中で新しい技術を開発して世界に発信していけたらと思います」と述べる。同社は共同研究施設だけでなく、国内ユーザー会との意見交換をもとに製品開発を進めており、越智部門長は、「ユーザーとメーカーが密に連携して情報を共有することで製品づくりに貢献できることは、長く製品を使う理由の一つになるかもしれないですね」と言う。
DLR技術によってMR画像の高解像度、検査時間の短縮を可能にしたVantage Centurian。ユーザーとともに今後もさらに進化を続けていくに違いない。
(2025年7月11日取材)
*本記事中のAI技術については設計の段階で用いたものであり、本システムが自己学習することはありません。
*記事内容はご経験や知見による、ご本人のご意見や感想が含まれる場合があります。
一般的名称:超電導磁石式全身用MR装置
販売名:MR装置 Vantage Galan 3T MRT-3020
認証番号:228ADBZX00066000
類型:Vantage Centurian

広島大学病院
広島県広島市南区霞1-2-3
TEL 082-257-5555(代)
https://www.hiroshima-u.ac.jp/hosp

- 【関連コンテンツ】