Canon Clinical Report(キヤノンメディカルシステムズ)
2026年2月号
ケアミックス型病院でDECTや低管電圧撮影など80列CTを活用 〜Dual Energy撮影による不顕性骨折の診断など高齢化に伴う疾患の診断に貢献〜
総合青山病院
愛知県豊川市の特定医療法人宝美会総合青山病院は、一般病床100床、回復期リハビリテーション41床、療養52床、計193床のケアミックス型の病院である。22診療科を標榜する総合病院として、豊橋市、豊川市を中心に、急性期から回復・療養期まで地域の医療を担う。同院では、キヤノンメディカルシステムズの80列CT「Aquilion Serve」が2025年1月から稼働している。同院でのAquilion Serveの活用を、病院の診療の概要を含めて小森義之院長、整形外科の伊藤禎志副院長、放射線科の牧野直樹医師(非常勤)、情報管理課の安達英俊課長、放射線技術室の酒井英州技師に取材した。
小森義之 院長 |
伊藤禎志 副院長 |
放射線科・ |
情報管理課・ |
放射線技術室・ |
急性期から在宅まで地域に根ざした医療を提供
総合青山病院は1967年に青山医院として開院、2008年に現在地に移転して総合病院としての体制を整えた。法人(宝美会)としては、愛知県豊川市に同院を含めて2病院、静岡県湖西市に1病院と介護老人保健施設を運営し、東三河南部、静岡県湖西地域で広く医療、福祉、介護のサービスを展開している。宝美会の中核となる同院は、3本柱として地域医療、高度医療、予防医療を掲げ、地域に根ざした医療を提供してきた。高度医療としては、24時間オープンの救急医療体制や術中撮影が可能なCTの導入などで、安全で質の高い医療を提供している。また、予防医療としては健診センターを設けて、人間ドックや企業健診、住民健診などに対応する。小森院長は病院の診療について、「地域には公立病院のほかに手術まで対応可能な医療機関は少なく、小児科や歯科・口腔外科から脳神経外科や循環器内科まで多くの診療科を設けているのも、地域全体の急性期医療のニーズに対応するためです。当院には回復期リハビリテーションや療養の病床もあり、急性期から在宅まで継続した診療を提供することで、地域医療を支える体制を整えています」と話す。
画像診断機器は、本館にはCTが手術室の術中撮影用を含めて2台、1.5T MRI、血管撮影装置、骨密度測定装置、マンモグラフィなど、健診センターにはX線TV2台、マンモグラフィなどが稼働する。診療放射線技師は酒井技師を含めて9名。酒井技師は、「健診センターは午前を中心に3人体制で対応しています。救急の当直勤務もあり、本館のモダリティを含めて少ない人数でフル稼働していますので、全スタッフがCT、骨密度、X線TVなどを扱えるようにしています」と説明する。
大雨による浸水から迅速な対応で診療を継続
診療を支える高度医療機器の導入について小森院長は、「人件費や材料費など物価高騰の影響で病院の経営状況は厳しくなる一方ですが、急性期医療を提供する以上は診療科からのさまざまな要望に高度に対応できる画像診断機器は必要です」と述べる。今回のCTのリプレイスでは、Aquilion Prime SP(80列)からの更新となったが、Aquilion Serve選定の理由、経緯について放射線技術室の前技師長で導入に携わった安達課長は、「診療科の要求に対応可能なスペックだけでなく、民間病院としては費用対効果も重要です。Aquilion Prime SPでの安定した画質の評価に加え、AI技術を使った画像再構成やワークフロー支援機能による、さらなる向上を期待しました。また、Aquilion Serveは管球容量が5MHUで、長い目で見ると保守費用などでコスト削減が期待でき、費用を抑えつつ現場の要望にも応えられる装置だと判断して選定しました」と説明する。
同院は、2023年6月2日に台風接近に伴う大雨で浸水被害を経験した。床上浸水し電子カルテや医療機器が甚大な被害を受けた。小森院長は、「画像診断機器もほとんどが浸水しましたが、病院職員はもちろん装置やシステムの関連各社の協力もあって、1日程度の休診で診療を続けることができました」と述べる。キヤノンメディカルシステムズは、浸水したCTとMRIのガントリや寝台の点検を行い部品を交換して、検査が可能な状態まで復旧させた。安達課長は、「浸水した機器は交換するしかないという企業もありましたが、キヤノンメディカルシステムズはCT、MRIの迅速な復旧や、使えなくなった透視装置の代替機の調達などで柔軟に対応いただきました。検査の再開を第一に考えて、迅速に対応いただいたことは信頼感につながりました」と述べる。
低管電圧撮影や3D Landmark Scanを活用
Aquilion Serveの検査件数は1日約35件、月間750〜800件で、大腸CTや冠動脈CTなどさまざまな検査を行っている。Aquilion Serveは、AI技術を用いた画像再構成技術「Advanced intelligent Clear-IQ Engine-integrated(AiCE-i)」などによる高画質、低被ばく検査の提供と、ガントリカメラや3D Landmark Scan(3DLS)による自動化技術で効率的なワークフローを実現する。80列同士の更新となったが変化について酒井技師は、「基本的にはAquilion Prime SPの良い部分を継承しつつ、管球容量は小さくなりましたが(7.5MHU→5MHU)、AiCE-iによって粒状性の高い画質が担保されています」と評価する。同院で非常勤(週1回)で読影業務を行っている牧野医師は、「胸部領域では、低線量撮影でもAiCE-iの適用によってクリアに描出されており、誤嚥性肺炎では気管中の食物残渣なども確認できます。また、間質性肺炎の患者も多いですが、アンダーシュートの少ない画像で胸膜下の囊胞が観察でき、抗生剤や薬剤の選択など、治療方針の決定に少なからず貢献しています」と述べる。
同院では、低管電圧撮影を活用して被ばく線量や造影剤を低減した検査を行っている。80kVと100kVを体重によって使い分けているが、酒井技師はAquilion Serveでの撮影について、「低管電圧撮影は前機種から行っていましたが、Aquilion Serveでは作成できるプロトコールが増えて、より細かく体重分けして運用できるようになりました」と述べる。
Aquilion Serveの3DLSの活用としては、大腸CTにて3DLSであらかじめ腸管の拡張の状況が確認できることで再撮影の頻度が少なくなった。酒井技師は、「三次元的に収集される位置決め画像から追加の拡張が必要かどうかを的確に判断でき、被ばく低減や患者さんの負担の軽減につながっています」と述べる。また、整形外科では変形性膝関節症に対する人工膝関節置換術の術前撮影で、下肢全長の確認は3DLSで行い、本スキャンは膝関節のみに絞ることで被ばくを低減している。「画論32nd The Best Image」でテクニカル賞(福岡リハビリテーション病院)を受賞した撮影方法を採用しており、酒井技師は、「ユーザーによる撮影の工夫を共有できることも大きなメリットです」と述べる。
■Aquilion Serveによる臨床画像
図1 踵骨 Dual Energy撮影
a:骨条件 b:VNCa
VNCa画像では骨折(↑)が確認できる。
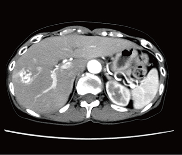
図2 肝血管腫 低管電圧撮影(80kV)にて3相撮影を実施
低管電圧撮影により造影剤量を4割程度低減している。
図3 冠動脈撮影 100kVによるFlash撮影
Dual Energy撮影のVNCa画像で不顕性骨折を描出
同院では、整形外科領域の骨折、特にX線や単純CTでは判断が難しい不顕性骨折に対して、Dual Energy CT(DECT)を用いたVirtual Non Calcium(VNCa)画像での描出を行っている。同院では、増加する高齢者の骨折に対応するため、2024年に「高齢者骨折センター」を開設、手術からリハビリまで迅速かつ的確に診療を提供する体制を整えた。センター長を務める伊藤副院長はDECTについて、「X線や単純CTでは判断が難しい骨折でも、DECTのVNCa画像で明確に描出されるケースがあります。変性との違いを確認するためMRIは撮像しますが、CTでわかることで、より迅速な診断と治療方針の決定が可能です」と述べる。DECTは明らかな骨折を除いて骨折疑いの症例で撮影しており、椎体骨折や大腿骨近位部骨折、踵骨骨折、手根骨骨折などで有用だとのことだ。整形外科領域のDECTについては牧野医師も、「DECTで骨髄浮腫が明瞭に描出できるようになって、圧迫骨折や大腿骨頭の頸部骨折、緊急の腰椎ヘルニアなどの診断に有用です」と評価する。
DECT撮影は前機種の時から行っていたが酒井技師は、「Aquilion Serveでは、AiCE-iと非剛体位置合わせによって1回の撮影で診断が可能な画像を得ることができるようになり、安心して検査ができるようになりました」と述べる。また、酒井技師は、「VNCa画像は、救急の当直で整形外科の専門医以外が担当する場合に骨折がわかりやすく、入院などの的確な判断が可能です。休日や夜間は緊急でMRIを撮ることが難しいこともあり、CTで対応できるメリットは大きいですね」と述べる。DECTについては、今後、整形外科だけでなく口腔外科での骨折や出血の判定などにも展開していきたいと酒井技師は言う。
BCP対策など持続可能な体制を整え地域医療に貢献
同院では、浸水被害後、クラウドファンディングなども活用して止水板を導入するなど、被災経験を生かしたBCP対策を行っている。安達課長は、「電気・水道が使えない中での診療や非常食の提供方法など、実際に経験したことで具体的で実効性のある対策となっていると思います」と述べる。地域の健康・医療・介護を守る病院として、最善の準備で急性期から在宅まで住民の診療を支えている。
(2025年11月28、29日取材)
一般的名称:全身用X線CT診断装置
販売名:CTスキャナ Aquilion Serve TSX-307A
認証番号:304ACBZX00001000
*本記事中のAI技術については設計の段階で用いたものであり、本システムが自己学習することはありません。
*記事内容はご経験や知見による、ご本人のご意見や感想が含まれる場合があります。
医療法人宝美会 総合青山病院
愛知県豊川市小坂井町道地100番地1
TEL 0533-73-3777
https://www.aoyama-hp.or.jp/

- 【関連コンテンツ】
