技術解説(フィリップス・ジャパン)
2025年5月号
US Today 2025
自動化機能と高度なアルゴリズムで迅速かつ確度の高い診断を支援「Elevateシリーズ」
保田 綾子[(株)フィリップス・ジャパン プレシジョンダイアグノシス事業部 超音波診断装置フィールドマーケティング]
超音波は,汎用性が高く利用しやすい画像診断の一つであるが,習熟した専門家になるまでにはトレーニングに長い時間がかかり,増え続ける検査件数や観察項目にどう応えるかという大きな課題に直面している。「EPIQ Elite Elevate」と「Affiniti Elevate」は,新しい自動化機能と高度なアルゴリズムを搭載し,ワークフローの迅速化と診断プロセスの効率化に寄与するための技術が搭載されているのでご紹介したい。
■自動画像調節ツール「AutoScan Assistant」の拡充
AutoScan Assistantは,腹部,血管,表在臓器,小児科,産婦人科領域,造影エコーなど,各種検査における100以上のプリセットで,より精密な画像処理と直観的なワークフローの実現をめざした機能である。ピクセル単位の適正化アルゴリズム(Next Gen AutoScan)や,深さ方向の自動輝度調整(AutoScan Penetration)により,手動調整の手間を減らし,患者一人ひとりに適正化された画像をリアルタイムに描出し,画像調整に関するボタン操作を最大54%削減できることが報告されている1)。
■Auto ElastQ(オートエラストキュー)
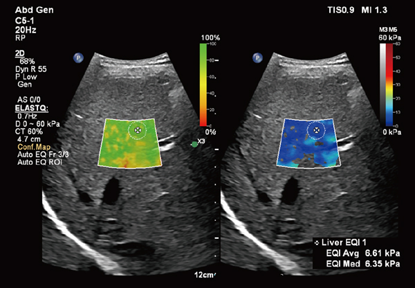
shear wave elastographyを使用して肝臓の硬さを非侵襲的に計測するアプリケーション「ElastQ(エラストキュー)」に,自動化機能が追加された(図1)。「Auto ElastQ」は,計測に適したフレームやROIポジションを自動で判別し,計測結果を表示することが可能である。これにより,これまで課題であった検査時間を最大60%短縮し2),99%の再現性であることが報告されている3)。

図1 Auto ElastQによる肝硬度の自動計測
適切なフレームとROIポジションが自動で判別され,計測が行われる。
■ワークフローの効率化
新しい「Quick Launchプリセット機能」は,検査中に画像を適正化する時間を短縮し,ルーチン検査の効率化を図る。さらに,直観的なアノテーション入力を可能にするColor Coded Annotationや,カスタムボディマーカーを装置にインポートする機能が追加され,より柔軟にユーザーのニーズに対応することが可能となった。
■循環器領域のAI*機能を継承
冠動脈疾患を含むさまざまな心疾患の左室機能評価では,ストレインや局所壁運動異常などの評価を,ユーザー間のバラツキなく実施することが求められている。Elevateシリーズには,循環器向け超音波診断装置「EPIQ/Affiniti CVx Transcendシリーズ」の心エコーに関するAI*技術が多く搭載され,自動化による検査の効率化,複雑な解析の客観的評価をサポートする。さらに,新しい細径3D経食道トランスジューサ「X11-4t」も搭載され(図2),構造的心疾患(SHD)領域での活用が期待される。

図2 細径3D経食道トランスジューサX11-4t
*AI技術の設計にはディープラーニングまたはマシンラーニングを使用しており,実装後に自動的に装置の性能・精度は変化することはありません。
販売名:超音波画像診断装置 EPIQ/Affiniti
医療機器認証番号:225ADBZX00148000
特定保守管理医療機器/管理医療機器
販売名:フィリップス 食道向け超音波診断用プローブX11-4t
医療機器認証番号:306AFBZX00060000
特定保守管理医療機器/管理医療機器
●参考文献
1)D00277745B, Marketing Claim Evidence for EPIQ V10 vs V7, Workflow Efficiency.
2)D001795093, Marketing Claims Evidence for Auto ElastQ timing, V12.0_Rev.A.
3)D001705221, Auto ElastQ clinical study report.
【問い合わせ先】
お客様窓口
TEL 0120-556-494
www.philips.co.jp/healthcare