富士フイルム,超音波診断装置「ARIETTA 850 DeepInsight x」「ARIETTA 750 DeepInsight x」および 高周波ホッケースティック型プローブ「L52Hプローブ」術中用ドロップインプローブ「L43KMプローブ」を新発売
AI技術*1の活用で画質の向上とワークフローの効率化に貢献
2025-12-4
ARIETTA 850 DeepInsight x
富士フイルム(株)は,超音波診断装置「ARIETTA 850 DeepInsight x」,「ARIETTA 750 DeepInsight x」,および新たなプローブであるホッケースティック型プローブ「L52Hプローブ」と術中用ドロップインプローブ「L43KMプローブ」を,富士フイルムメディカル(株)を通じて12月4日より発売する。
同社は2014年に超音波診断装置ARIETTAシリーズを発売した。2022年にはAI技術*1を活用して開発したノイズ除去技術「DeepInsight技術」を搭載した「ARIETTA 850 DeepInsight」を発表し,さらに2023年には「ARIETTA 750 DeepInsight」を発売した。2024年からは,より鮮明な画像を提供する技術を進化させ“The Next Stage”として展開している。
今回発売するARIETTA DeepInsight xシリーズは,“The Next Stage”で推進してきた画質向上を継続し,さらに進化させることで,高精細かつ高分解能で,ばらつきの少ない安定した画像を提供,検査効率の向上を目指して開発された。幅広い診療分野に対応するアプリケーションを進化させ,AI技術*1を活用した画質向上と効率的なワークフローの実現により,新たな価値を提供する。
iATT機能は肝臓内の超音波減衰量を非侵襲的に計測し,肝脂肪の定性的な評価指標(ATT)を提供してきた。従来のATTに加え,後方散乱係数と信号のばらつきを考慮した指標Steatosis Backscatter Index(SBSI)*2を表示可能である。
さらに,AI技術*1を活用したボディマークやプローブマークの自動認識機能「iRecognize」を備え,ルーチン検査の短時間化,効率化が期待される。
また,CT/MR画像などのバーチャル像の情報から領域を分類して超音波(US)画像に重ねて表示することが可能。これにより,描出部位の位置関係をわかりやすく可視化し,検査をスムーズに進めるとともに,ワークフローの効率化によって検査時間の短縮が期待される。
高周波ホッケースティック型プローブ「L52Hプローブ」は,高い空間分解能を活かして表在領域だけでなく多彩な検査領域の詳細な描出を可能とし,診断精度のさらなる向上を目指している。
プレミアムモデル「ARIETTA 850 DeepInsight x」は高性能CPU/GPUを搭載することで,診断から治療,予防医療まで幅広くサポートすることが期待されている。また,ハイエンドモデル「ARIETTA 750 DeepInsight x」は外科領域に特化した豊富なプローブラインアップを備えており,新発売の術中用ドロップインプローブ「L43KMプローブ」は低侵襲手術にも対応している。術中超音波検査は,視野の限られた術式において,病変とその周囲の関係を把握するために用いられている。対象臓器に直接プローブを当てることで高精細な画像を得ることができるため,多くの医療現場で利用されている。
富士フイルムは,今後も独自技術を生かし,医療現場のニーズに応える幅広い製品・サービスを提供することで,医療の質・効率・安全性の向上と人々の健康維持・増進に貢献していく。
1.品名
ARIETTA 850 DeepInsight x
販売名:超音波診断装置 ALOKA ARIETTA 850
認証番号:228ABBZX00147000
ALOKA ARIETTA 850は,ARIETTA 850 DeepInsight xと呼称する。
ARIETTA 750 DeepInsight x
販売名:超音波診断装置 ARIETTA 750
認証番号:301ABBZX00007000
ARIETTA 750 は,ARIETTA 750 DeepInsight xと呼称する。
高周波ホッケープローブL52H
販売名:L52H プローブ
認証番号:307ABBZX00021000
術中用ドロップインプローブL43KM
販売名:L43KM プローブ
認証番号:307ABBZX00020000
2.発売日
2025年12月4日
3.主な特長
(1)進化したiATT
iATTは,肝臓内における超音波の減衰量を非侵襲的に計測し,肝臓の脂肪量を定性的に評価する指標(ATT)を提供する機能。被検者への負担が少なく肝脂肪化の程度を評価できるため,定期検査などで脂肪肝の早期発見に貢献する。
進化したiATTは,計測位置を変更できるようになり,肝臓の計測においてばらつきの要因となる皮下脂肪を避け,World Federation for Ultrasound in Medicine and Biology(WFUMB)ガイドラインに準拠した計測位置の設定が可能となった。また,従来のATTに加え,後方散乱係数と信号のばらつきを考慮した指標SBSI(Steatosis Backscatter Index)*2を表示可能である。
※ 脂肪肝とは,肝細胞の5%以上に中性脂肪が蓄積した状態を指す。長期間放置すると肝硬変や肝がんに進行する可能性があるため,早期発見が重要。
引用文献)日本超音波医学会, 脂肪肝の超音波診断基準, 2021
▲ iATTの計測画面
計測位置の変更ができ,計測のばらつきの要因である皮下脂肪を避け,WFUMBガイドラインに準拠した計測位置の設定が可能。ATTに加えて,後方散乱係数と信号のばらつきを考慮した指標SBSI(Steatosis Backscatter Index)*2を表示可能。
(2)iRecognize*3*4
iRecognizeは,ボディマーク/プローブマークを自動で設定する機能。AI技術*1を活用した断面認識技術により,腹部検査における走査断面を自動で認識し,フリーズ押下時にボディマークおよびプローブマークを自動で設定する。腹部超音波検診判定マニュアルに掲載されている25断面に対応しており,ルーチン検査の短時間化,効率化が期待される。
(3)Real-time Virtual Sonography(RVS)*3*4
RVSは,超音波画像と他モダリティ画像をリアルタイムに並列表示する機能。超音波検査だけでは発見しづらい小さな病変の発見や,治療部位の決定など安全かつ正確な治療への貢献が期待される。「ARIETTA 850 DeepInsight x」「ARIETTA 750 DeepInsight x」は,RVSによる検査開始時のボリュームデータ検索や,バーチャル像と超音波画像との位置合わせを自動化し,操作手順を低減した。検査者の習熟度を問わず簡単に使用することが可能で,検査の短時間化も期待できる。
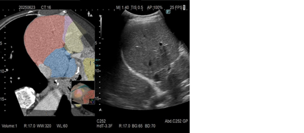
また,CT/MR画像などのバーチャル像の情報から領域を分類して超音波(US)画像に重ねて表示することが可能。これにより,描出部位の位置関係をわかりやすく可視化し,検査をスムーズに進めるとともに,ワークフローの効率化によって検査時間の短縮が期待される。
▲ 造影CTデータの輝度解析により領域分類された参照画像をバーチャル像上へ重畳表示
(4)新規接続プローブ
<1> ホッケースティック型プローブ L52H
L52Hは,様々な握り方にフィットする汎用性の高い形状と,25-3MHzの広帯域による高画質を両立したホッケースティック型プローブ。微細な血流を表示する機能であるDetective Flow Imaging(DFI)や,組織の硬さを色付け表示する機能であるReal-time Tissue Elastography(RTE)にも対応し,詳細な観察をサポートする。「操作しやすく疲れ難い」を追求したデザインと小さな接触面積は小回りが利き,整形・リウマチ領域に限らず耳,眉間,小児表在と言った通常アプローチしにくい部位の観察をサポートする。
▲ ホッケースティック型プローブ L52H
様々な握り方にフィットする汎用性の高い形状と,25-3MHzの広帯域による高画質を両立。
<2> 術中用ドロップインプローブ L43KM(接続:ARIETTA 750シリーズ)
L43KMプローブは,鉗子等で掴んで操作し超音波断層像を観察することを目的としたプローブ。φ12のトラカールにも挿入可能なため,腹腔鏡手術の術野に落とし入れ,別鉗子等で操作することも可能。プローブ先端に目盛を備えており,目盛に対応したアシストラインを超音波画像上に表示することが可能である。スコープ像と超音波画像との位置関係が把握しやすく,切除ライン決定などのサポートをする。
▲ 術中用ドロップインプローブ L43KM
コンパクトな形状で低侵襲手術をサポート。プローブ先端に目盛を備えており,目盛に対応したアシストラインを超音波画像上に表示することが可能。
*1 AI技術のひとつである機械学習またはDeep Learningを用いて開発・設計したもの。
導入後に自動的に装置の性能・精度が変化することはない。
*2 Steatosis Backscatter Index(SBSI)は診断を意図していない参考値。
*3 自動化機能の結果は検査者の確認が必要。必要に応じて結果を修正可能。
*4 オプション機能
●問い合わせ先
富士フイルムメディカル(株)
マーケティング部
E-mail:shm-fms-hansoku@fujifilm.com
